USMLE Reviewer (By Subscription)
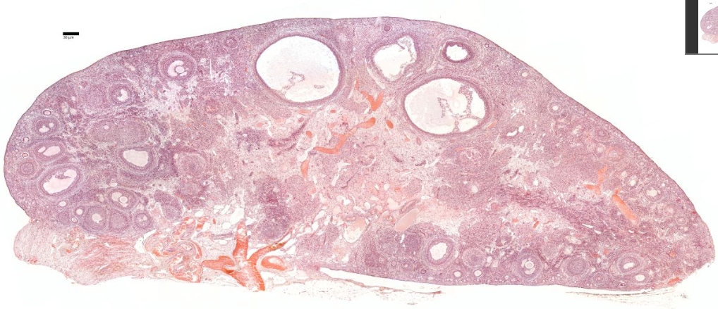
[The ovaries have a cortex, which is where the ovarian follicles are found, and a highly vascular medulla, with coiled arteries called helicrine arteries.]
The ovaries produce eggs (ova) and hormones such as estrogen and progesterone.
The ovaries are almond-shaped organs of the female reproductive system that produce eggs (ova) and hormones such as estrogen and progesterone. Their structure can be described as follows:
Shape and Size:
External Appearance:
The ovary is divided into two regions:
Cortex:
Medulla:
This highly organized structure enables the ovaries to function as essential reproductive and endocrine organs.
Shape and Size:
External Appearance:
The ovary is divided into two regions:
Cortex:
Medulla:
This highly organized structure enables the ovaries to function as essential reproductive and endocrine organs.

+++++++++++++++
Next is a cortex where the ovarian follicles can be found.
Ovarian follicles are oocytes surrounded by epithelial cells.
Included in the follicles are the cumulus oophorus, membrana granulosa, and the granulosa cells inside it, corona radiata, zona pellucida, and primary oocyte.
The zona pellucida, theca of follicle, antrum and liquor folliculi are also contained in the follicle. Also in the cortex is the corpus luteum derived from the follicles.
{A diagram of a sectioned ovary (a) shows the different stages of follicle maturation, ovulation, and corpus luteum formation and degeneration. All of the stages and structures shown in this diagram actually would appear at different times during the ovarian cycle and do not occur simultaneously. Follicles are arranged here for easy comparisons. The primordial follicles shown are greatly enlarged. The histologic sections identify primordial follicles (b), a primary follicle (c), a secondary follicle (d), and a large vesicular follicle (e). After ovulation, the portion of the follicle left behind forms the corpus luteum (f), which then degenerates into the corpus albicans (g). All H&E.]
+++++++++++++++
he ovary is where oogenesis occurs Ovaries are stimulated by gonadotrophin from the anterior pituitary. Ovaries also have an endocrine function - they release oestrogen and progesterone. The genital tract makes up the rest of the female reproductive system: fallopian tubes take the ova to the uterus. The uterus is a muscular organ, and its mucosal lining undergoes hormone dependent changes. Thevagina is a muscular tube that leads to the outside.
The most internal part of the ovary, the medulla, contains loose connective tissue and blood vessels entering the organ through the hilum from mesenteries suspending the ovary. The medulla has coiled arteries called helicrine arteries.There is no distinct border between the ovarian cortex and medulla.It can be hard to distinguish between the cortex and medulla, but follicles are usually not found in the medulla.


> Next: 02. Oogenesis
During ovulation, an egg is released from a dominant follicle. Following the release of the egg and subsequent fertilization, the follicle seals itself off and forms what is known as a corpus luteum. This mass of cells helps produce the hormone progesterone during early pregnancy.
The corpus luteum will continue to produce progesterone until the fetus is producing adequate levels to sustain the pregnancy, which usually occurs between 7 and 9 weeks of pregnancy.
Progesterone is essential during early pregnancy because:
The corpus luteum is supported and maintained by the pregnancy hormone human chorionic gonadotrophin or HCG. The corpus luteum begins to decrease in size at around 10 weeks of pregnancy.
When fertilization or implantation do not occur, the corpus luteum will begin to break down. This causes a decline in estrogen and progesterone levels, leading to the start of another menstrual period.
USMLE Reviewer (By Subscription)